

If traditional dental X-rays already work, why are dentists increasingly recommending CBCT scans?
Because modern dentistry is no longer limited by what is visible it is limited by what is measurable and predictable. And that’s where CBCT changes the equation.
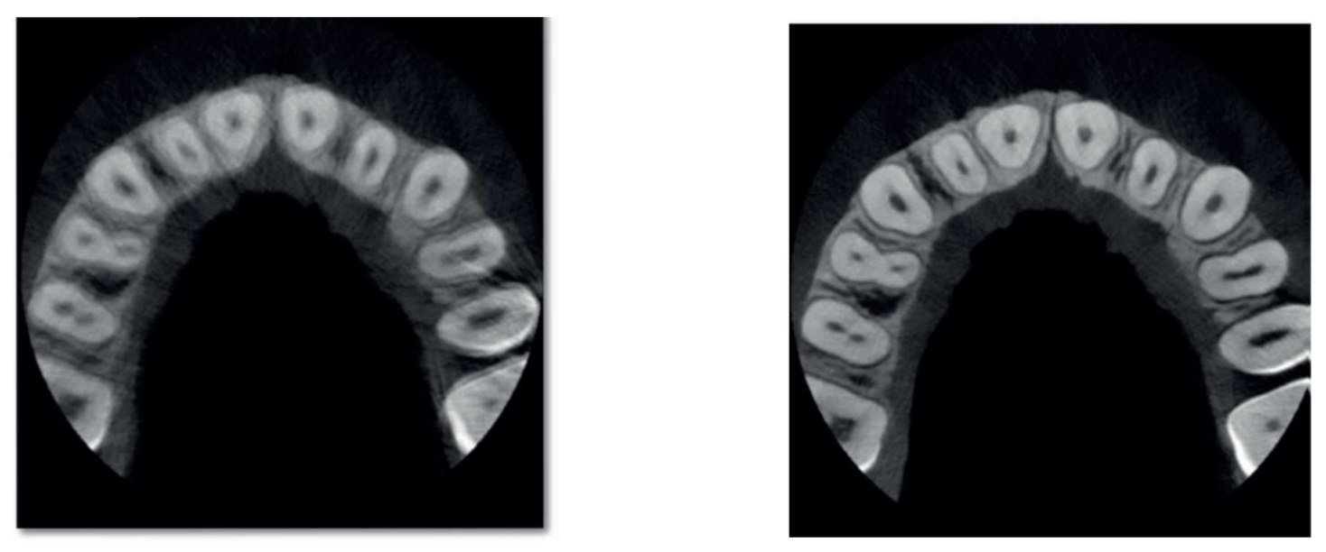
A CBCT (Cone Beam Computed Tomography) scan is a 3D dental imaging technology that captures detailed views of teeth, jawbone, nerves, and surrounding structures using a rotating cone-shaped X-ray beam.
In simple terms:
CBCT = 3D dental imaging
X-ray = 2D flat image
This difference is not just visual, it directly impacts diagnostic accuracy and treatment outcomes.
Traditional dental X-rays compress complex anatomical structures into a flat image. This means:
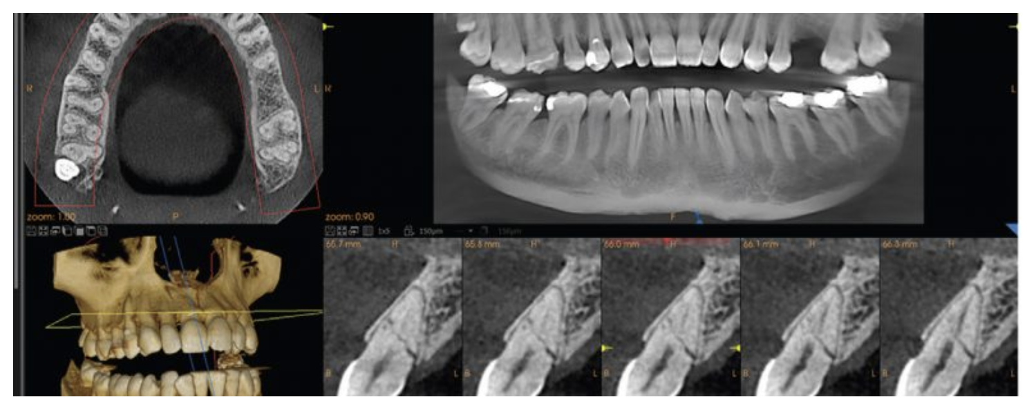
CBCT, on the other hand, creates a volumetric dataset, allowing dentists to:
Clinical literature consistently supports this: CBCT provides a multi-planar, volumetric view with significantly higher diagnostic precision than 2D imaging
This shift is most relevant in cases where precision directly affects outcomes, such as:
In these scenarios, the limitation of 2D imaging is not just technical, it becomes a clinical constraint.
CBCT is not simply an upgraded X-ray. It is a transition from approximation to measurable accuracy and in dentistry, where millimeters determine success or failure, that distinction is critical.

A CBCT scan works by rotating a cone-shaped X-ray beam around the patient’s head in a single motion, capturing hundreds of images that are reconstructed into a detailed 3D model of dental structures.
Instead of taking one or two flat images like traditional X-rays, CBCT follows a different process:
Each scan typically produces: 100–200 MB of imaging data.
This is significantly higher than conventional X-rays, which usually generate only a few megabytes.
This large dataset is not just about size it represents depth, angles, and structure.
Dentists can:
In practical terms: CBCT converts imaging from visual estimation → measurable anatomy
One of the most important differences between CBCT and traditional CT imaging is: Single-rotation acquisition
This makes CBCT:
confirms that this single-rotation approach allows full-volume imaging with improved speed and patient comfort.
The real advantage is not the number of images, it’s the context those images provide.
Instead of seeing: a flattened projection
Dentists now see:
CBCT doesn’t just capture better images. It captures complete anatomical context in a single scan and that shift from isolated images to full 3D understanding is what enables predictable, precision-based dentistry.

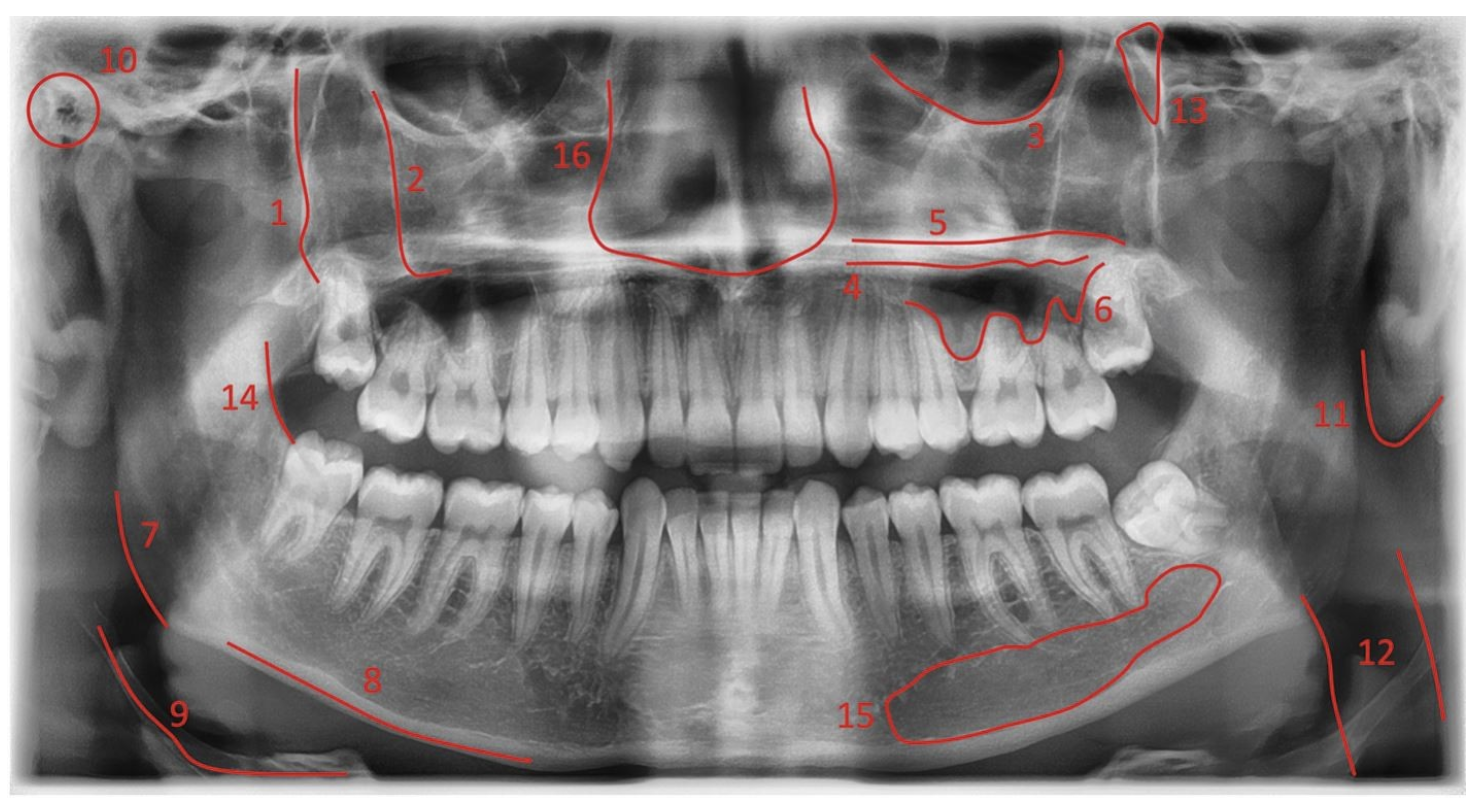
Conventional dental X-rays remain the first-line imaging tool for routine dental care because they are fast, accessible, and clinically effective for basic diagnosis despite their limitations in depth and detail.
Before we position CBCT as “advanced,” it’s important to understand something clearly: You and most patients still benefit from conventional X-rays in everyday dentistry.
They are not outdated, they are purpose-built for routine care.
Common types include:
These are widely used because they are:
For a dentist managing daily clinical flow, this matters.
In real-world practice, you’ll see that X-rays are highly effective for:
For these use cases:
You don’t need 3D imaging
You need speed, clarity, and efficiency
And that’s exactly what X-rays provide.
However, there’s one limitation that you cannot ignore: X-rays are 2D representations of 3D structures
This leads to:
In simple cases, dentists can work around this. But when complexity increases: This limitation becomes a clinical risk factor
Let’s say you are dealing with:
In these situations:
This is where decision-making shifts from: “Is this good enough?” to “Is this precise enough?” This limitation is well recognized in clinical imaging guidelines.
As noted by the American Academy of Oral and Maxillofacial Radiology:
“CBCT should be considered when conventional radiographic imaging does not provide adequate information for diagnosis or treatment planning.”
This reflects a practical reality in dentistry:
2D imaging works well for routine evaluation
But in complex cases, it may not provide sufficient diagnostic confidence
It’s important not to oversimplify this comparison.
CBCT is not a replacement for X-rays
And X-rays are not inferior they are context-specific
Think of it this way:
Conventional X-rays continue to play a critical role because they are:
But the moment precision becomes non-negotiable: their limitations become visible
And that’s where dentistry begins to transition from routine imaging → precision imaging

The fundamental difference between CBCT and conventional X-rays lies in depth. CBCT provides a true 3D understanding of anatomy, while X-rays offer a flat 2D projection making them suitable for different clinical purposes.
When you compare CBCT and X-rays, the question is not: “Which is better?”
It is: “What level of detail and certainty do you need?”
Because in clinical practice, imaging is not about visibility alone it’s about decision-making confidence.
At the center of this comparison is one concept:
Depth vs Flatness
| Factor | CBCT Scan | Conventional X-Ray |
| Image Type | 3D volumetric | 2D flat |
| Detail Level | High | Moderate |
| Depth Visibility | Yes | No |
| Data Output | 100–200 MB | Few MB |
| Use Case | Complex diagnosis | Routine checks |
With CBCT, dentists can:
With X-rays, they:
This is a critical shift:
From interpretation based on projection
To analysis based on actual structure
In routine scenarios, you don’t need depth.
But when you are dealing with:
Flat imaging introduces uncertainty.
And in dentistry: Small uncertainties can lead to major clinical consequences
Clinical studies consistently show that CBCT provides:
This is because CBCT captures: true spatial relationships, not approximations
You should not think of CBCT and X-rays as competitors.
They operate at different levels:
When the case is simple: X-rays are efficient and sufficient
When the case is complex: CBCT becomes necessary for clarity
The difference between CBCT and X-rays is not just technological.
It represents a shift in dentistry: From seeing surfaces to understanding structures in full context and that shift is what enables predictable, precision-driven treatment outcomes.
CBCT improves diagnostic accuracy by eliminating anatomical overlap and providing true 3D visualization allowing dentists to detect conditions that are often missed or misinterpreted in 2D X-rays.
When you rely on conventional X-rays, you’re often working with:
This means: You are interpreting a compressed version of reality
In many routine cases, this works.
But in complex scenarios: It introduces uncertainty into diagnosis and treatment planning
CBCT changes this by giving you access to actual anatomical structure, not projections.
With CBCT, dentists can:
Instead of guessing what lies behind an image: You are seeing it directly
You’ll notice the impact of CBCT most in cases where precision matters:
In these cases: Missing small details can lead to failed or delayed treatment
Clinical data reinforces this difference:
In dentistry, errors are rarely dramatic; they are subtle.
A missed canal
A slight misalignment
An undetected fracture
These small gaps can lead to:
CBCT reduces this risk by: improving visibility → accuracy → predictability
With X-rays, dentists often rely on: experience + interpretation
With CBCT, they rely on: data + measurable anatomy
This doesn’t replace clinical expertise, it enhances it. CBCT is more accurate not because it is “better technology,” but because it: removes ambiguity from diagnosis
And in clinical practice: Less ambiguity = better outcomes
That’s why CBCT is increasingly used when treatment decisions require confidence, not estimation.

CBCT uses more radiation than standard dental X-rays, but significantly less than medical CT scans making it a controlled, mid-dose imaging option used only when clinically necessary.
If your dentist recommends CBCT, the first question that comes to mind is: “Is this safe?”
And that’s a valid concern. Because unlike routine X-rays, CBCT involves higher exposure levels but the context matters.
Let’s break it down with real clinical data:
That’s roughly 30% lower radiation than medical CT for localized imaging
In many cases, a CBCT scan is comparable to a short period of everyday environmental exposure
Radiation is not evaluated in isolation, it’s evaluated in risk vs diagnostic benefit.
Key clinical insights:
Recent studies emphasize: Proper protocol selection can optimize dose without compromising image quality
Also: Dental imaging contributes <1% of total medical radiation exposure annually
Dentists follow: ALARA As Low As Reasonably Achievable
Which means:
Modern protocols also focus on: FOV-based dose reduction + optimized parameters
Here’s the actual clinical reality:
In complex cases: Not using CBCT can increase:
Radiation is not just about numbers, it’s about justification. Dentists don’t recommend CBCT for routine cases.
They recommend it when:
So the question shifts from: “Is there radiation?” to “Is this level of imaging necessary for this case?”
Dentists follow a strict safety guideline: ALARA which means As Low As Reasonably Achievable
This means:
confirms that modern guidelines emphasize justification and dose optimization, ensuring responsible use.
Modern CBCT systems are designed to:
This ensures: You get maximum diagnostic value with controlled exposure
Here’s the clinical reality:
In complex cases: Not using CBCT can sometimes carry more risk than using it
Because:
CBCT is not a routine imaging tool and it’s not meant to be. It is a precision tool used selectively.
When used appropriately: The benefit of accurate diagnosis far outweighs the controlled radiation risk and that’s why dentists rely on it when certainty matters more than approximation.
CBCT scans are recommended when clinical decisions require precision that 2D X-rays cannot provide particularly in cases involving implants, complex anatomy, or uncertain diagnosis.
CBCT is not used for every patient and that’s intentional.
You won’t need CBCT for routine checkups
But you may need it when accuracy directly impacts outcomes
Dentists follow a simple rule: Use CBCT only when 2D imaging is insufficient
Let’s break it down by real clinical scenarios you or your dentist may encounter:
If you’re planning an implant, CBCT becomes critical.
Dentists use it to:
Without CBCT: Implant placement relies on estimation
With CBCT: It becomes data-driven and predictable
In complex cases, standard X-rays may not reveal:
CBCT helps dentists:
For you, this means: fewer failed treatments and retreatments
For impacted wisdom teeth or surgical extractions:
CBCT provides: precise location and orientation
This reduces the risk of:
In orthodontic planning, CBCT helps evaluate:
Compared to 2D cephalometric analysis: 3D imaging provides more accurate structural relationships
If you have jaw pain, clicking, or limited movement:
CBCT can assess:
This enables: more targeted diagnosis and treatment planning
CBCT is also used when dentists suspect:
Because: 2D X-rays may miss boundaries and depth
CBCT defines: the exact extent of the condition
If your dentist recommends CBCT, it usually means: Your case requires clarity, not approximation
It is not about “extra testing”
It is about: reducing uncertainty before treatment begins
Modern guidelines consistently emphasize: CBCT should be used only when it adds diagnostic value beyond 2D imaging
This ensures:
CBCT is not about doing more imaging. It’s about doing the right imaging at the right time. When complexity increases, so does the need for precision.
And in those moments: CBCT becomes the difference between informed treatment → predictable outcomes.

CBCT scans are designed to be fast, non-invasive, and comfortable capturing complete 3D imaging in a single rotation within seconds, with minimal effort required from you.
If you’ve never had a CBCT scan before, here’s what you can expect:
There is:
no pain
no injections
no preparation required
From your perspective, it feels similar to a panoramic X-ray but faster and more efficient.
Unlike traditional medical CT scans that capture images slice by slice, CBCT works differently: It captures the entire region in one continuous rotation
This means:
confirms that CBCT’s single-rotation acquisition makes it significantly faster and more patient-friendly.
Speed directly affects comfort.
Because the scan is quick:
For you, especially if you’re anxious about dental procedures: shorter scan time = better overall experience
From a clinical perspective, faster imaging also means:
Instead of waiting for multiple images or retakes: dentists get a complete dataset almost instantly
This allows them to:
You’ll notice the benefit of CBCT speed and comfort in:
Instead of taking several images: one CBCT scan provides everything in a single step
CBCT is not just about better imaging, it’s about better experience for you and better efficiency for your dentist.
Faster scan
Less discomfort
More complete information
And that combination makes it especially valuable when precision and time both matter.
CBCT scans are more expensive than standard dental X-rays because they involve advanced 3D imaging, higher data processing, and specialized interpretation but they remain more affordable than medical CT scans and are becoming increasingly accessible in modern dentistry.
If you compare CBCT with traditional X-rays, the cost difference is expected.
Because you’re not getting a single flat image you’re getting:
So practically: You are paying for depth, precision, and decision-making clarity
Despite being advanced, CBCT is designed specifically for dental use.
That makes it:
confirms that CBCT systems are more cost-efficient than conventional CT, which is why they are widely adopted in dental practices.
Earlier, CBCT was limited to hospitals or high-end setups.
Today, you’ll see it in:
Market data reflects this shift: The global CBCT market is projected to reach $1.77 billion by 2034, growing steadily due to implantology and advanced diagnostics
This tells you one thing: CBCT is moving from specialized → standard in complex dental care
When you evaluate CBCT, the better question is not: “Is it expensive?”
But: “What is the cost of not having accurate imaging?”
Because in complex cases:
In that context: CBCT often reduces long-term clinical and financial risk
You’ll find CBCT most justified when:
In these cases: Accuracy is not optional, it’s critical.
CBCT is more expensive than routine X-rays but that’s because it serves a different purpose.
X-rays = efficiency
CBCT = precision
And when precision directly impacts outcomes: The value of CBCT outweighs its cost. It’s not about paying more, it’s about reducing uncertainty where it matters most.
The future of dental imaging lies in combining CBCT with AI-driven analysis where high-quality 3D data is enhanced by intelligent tools to support faster, more consistent, and clinically relevant decision-making.
CBCT already gives dentists complete 3D visibility. But the next evolution is not just about seeing more, it’s about understanding faster and more consistently.
This is where AI comes in. Instead of replacing clinical expertise, AI works as: a decision-support layer on top of CBCT imaging.
Modern AI systems can:
This means: You move from manual interpretation → assisted analysis
But importantly:
AI does not replace radiologists or dentists
It supports their clinical judgment

At Nidaan Dental, AI is used as a structured support layer designed to assist radiologists and dentists in faster, more consistent interpretation, without replacing clinical judgment.
In OPG imaging, AI is applied at the screening and visualization level.
Here’s how it works in practice:
This allows:
You (as a dentist) to quickly identify areas that need attention
Faster initial case understanding before detailed review
But importantly: These markings are indicative, not diagnostic
They act as a visual aid, helping you focus not replacing your evaluation.
In CBCT workflows, AI plays a different role.
Instead of marking only, it supports report creation and structuring.
This enables:
Faster report generation
Reduced manual effort
Lower chances of missing key observations
However: The final report is always reviewed, validated, and concluded by a radiologist
Nidaan’s workflow is intentionally designed to maintain clinical accountability.
This ensures:
No over-reliance on automation
No compromise on diagnostic accuracy
In daily practice, time and clarity are critical.
With this integration, you get:
Instead of spending time identifying obvious patterns: You can focus on clinical decisions and treatment planning.
There is a common misconception that AI will replace doctors.
In real workflows, the model is much more practical:
At Nidaan, AI is not positioned as a replacement, it is positioned as an efficiency and accuracy layer.
Technology enhances speed and consistency
Expertise ensures correctness and clinical reliability
And that combination defines the future of dental imaging: Data-supported, radiologist-led, precision-driven care

CBCT is not “better” than X-rays in all situations; it is more suitable for complex cases, while conventional X-rays remain the preferred choice for routine dental evaluation.
When you first hear about CBCT, it’s natural to think: “If it’s more advanced, shouldn’t it replace X-rays?”
But in clinical practice, that’s not how decisions are made.
Dentists don’t choose imaging based on “better technology”
They choose based on: what the case actually requires
Instead of asking: “Which is better?”
You should ask: “Which is appropriate for this situation?”
Because CBCT and X-rays serve different clinical roles.
You’ll see conventional X-rays used when:
In these scenarios: X-rays are efficient, accessible, and clinically adequate
CBCT is recommended when:
For example:
Here:
2D imaging is not enough
Depth and spatial understanding become essential
Clinical consensus consistently supports this distinction:
Conventional X-rays remain suitable for routine imaging
CBCT is increasingly the standard for complex diagnosis
This is not about replacement, it’s about appropriate application.
If your dentist chooses:
So the recommendation itself tells you something important: The level of imaging reflects the complexity of your condition
You can think of it simply:
Both are essential. They just operate at different levels of detail.
CBCT vs X-ray is not a competition. It’s a clinical decision based on need. The goal is not to use the most advanced tool. It’s to use the right tool for the right level of certainty
And in modern dentistry: That balance between efficiency and precision defines better outcomes.
If your dentist recommends a CBCT scan, it’s usually because your case requires a level of precision that standard X-rays cannot provide. The goal is not more imaging, it’s better decision-making before treatment begins.
For dentists and clinics looking for high-precision imaging, structured radiology reporting, and advanced diagnostic support:
You can visit our CBCT & OPG Centre or contact us directly.
Because unlike multi-specialty labs, Nidaan is a B2B partner dedicated exclusively to dentistry. With a 40-year legacy, 1200+ dentist partners, and cutting-edge CBCT and AI solutions, we empower practices with faster, safer, and more precise diagnostics.
Whether you’re a patient trying to understand your scan or a dentist aiming for precision: The right imaging partner makes a measurable difference.
Because in modern dentistry: Accuracy at the diagnostic stage defines the outcome of the treatment.
A CBCT (Cone Beam Computed Tomography) scan is a 3D dental imaging technique that captures detailed views of your teeth, jawbone, nerves, and surrounding structures in a single scan.
Unlike traditional X-rays that show flat images, CBCT allows dentists to analyze depth, angles, and spatial relationships, which is essential for accurate diagnosis and treatment planning in complex cases.
CBCT is not universally “better” ; it is more suitable for specific situations.
In simple terms:
X-rays = routine screening
CBCT = advanced diagnostic clarity
Yes, CBCT is considered safe when used appropriately. It uses controlled radiation levels (typically 10–200 µSv), which are higher than standard dental X-rays but significantly lower than medical CT scans.
Dentists follow strict safety protocols like the ALARA principle (As Low As Reasonably Achievable), ensuring CBCT is only recommended when the diagnostic benefit outweighs the exposure.
CBCT is essential for implant planning because it provides a complete 3D view of bone structure and nerve location.
With CBCT, dentists can:
This reduces risks such as nerve damage or implant failure and leads to more predictable long-term outcomes.
No, a CBCT scan is completely painless and non-invasive.
You simply stand or sit still while the machine rotates around your head. There are no injections, no discomfort, and no recovery time required.
The actual scan usually takes just a few seconds, as the machine completes imaging in a single rotation.
Including positioning and setup, the entire process is quick and efficient, making it comfortable even for patients who are anxious or have difficulty sitting still for long periods.
Yes, CBCT scans are more expensive than standard dental X-rays because they involve:
However, in complex cases, CBCT can prevent diagnostic errors and repeat procedures, which may reduce overall treatment costs in the long run.
Yes, CBCT is significantly more effective at detecting conditions that may not be visible on 2D X-rays, such as:
Because it shows structures in 3D, it allows dentists to identify issues earlier and more accurately.
In routine root canal cases, standard X-rays are often sufficient.
However, CBCT becomes important when:
In such cases, CBCT helps dentists avoid missed canals and improve treatment success rates.
CBCT typically delivers 10–200 µSv of radiation, depending on the scan type and area being examined.
To put this into perspective:
It is higher than a standard dental X-ray
But significantly lower than a medical CT scan
Dentists carefully select CBCT only when necessary, ensuring the diagnostic benefit justifies the exposure.