
Nidaan Uniguide
Custom Surgical Guides for Implants Precision. Predictability. Patient Safety — Redefining Guided Implantology.


Benefits of a Surgical Guide
UniGuide is not just another dental surgical guide - it is a custom-engineered implant planning solution from Nidaan Dental. Designed with advanced CBCT data and expert radiology support, it brings unmatched accuracy, time efficiency, and patient-care predictability to every implant surgery.
Accurate Implant Fit
Using a Surgical Guide reduces the risks of dental implants placement. This way, the dental professional can be sure your implant is fit in the correct position and the outcome of the treatment is effective and long lasting.
Long Lasting Implant Result
A surgical guide provides an exact guide to place the implant in the most perfect and effective way. This will help your implant last longer and be less likely to break, get infected or damaged in any way.
Improved Function Restoration
The accuracy that a surgical guide provides will enhance oral functions and speed up time you need to wait for oral function (biting, chewing) to work properly again
Faster Dental Treatment
By using a surgical guide the dentist can perform the implant treatment in a faster and more effective way. Knowing in advance the exact location, depth and angle of the position of the implant makes the treatment period much shorter.
Faster Dental Treatment
By using a surgical guide the dentist can perform the implant treatment in a faster and more effective way. Knowing in advance the exact location, depth and angle of the position of the implant makes the treatment period much shorter.
Reduces Risk
A Surgical Guide provides a computer guided implant procedure. Knowing this structure before placing the implant can reduce the possibility of unexpected problems during the implant treatment.
Cost/Benefit Results
The benefits of using surgical guides for implant treatment far outweigh the cost of it. Implant placement can be well prepared so that no unexpected results come up.
Unmatched Implant Placement Accuracy
With CBCT-based planning, Nidaan UniGuide ensures implants are positioned with unrivaled precision, reducing risks and enhancing long-term implant success rates
Customized for Every Patient
Each surgical guide is uniquely designed based on patient-specific CT scans and oral anatomy, creating truly personalized implantology solutions.
Minimized Surgical Complications
Predictive guide design significantly lowers the chances of nerve injury, sinus perforation, or improper angulation during implant surgery.
Reduced Chair Time & Faster Healing
Flapless guided surgery enables quicker procedures, less trauma, and faster patient recovery, with reduced post-surgical complications.
Seamless Integration with Digital Dentistry
UniGuide workflows integrate effortlessly with intraoral scanners, CBCT imaging, and clinic CAD/CAM systems
Time-Efficient Workflows for Dentists
From design to delivery, our expert-driven UniGuide process gives dental professionals more efficiency without compromising accuracy.
Trusted Clinical Support
With Nidaan’s team of radiologists and implant planning experts, clinics gain dependable case support throughout implantation.
Workflow: From Scan to Guided Surgery
Dental Clinic: Data Preparation
CBCT Scan + Intraoral Scan Data Capture

Patient with CBCT Scan

Patient with Intraoral Scan
Nidaan – Planning & UniGuide Design
Expert radiologists digitally plan implant placement.
Design customized UniGuide using CT + scan data
Pre-validated for surgical precision



Dental Clinic – Confirming UniGuide Design
Dentists review interactive 3D UniGuide plan.
Modify (if required) to match patient-specific treatment goals.
Confirm final design for printing stage.

Nidaan – UniGuide 3D Printing
Precision 3D-printed guides manufactured.
Strict quality control to ensure perfect fit.
Compatible with leading implant systems.


Dental Clinic – UniGuide Delivery + Guided Surgery Drill Kit
Guide delivered with surgical drill kit.
Ready-to-use for flapless, accurate implant placement.
Ensures predictable clinical outcomes.

Dental Clinic: Delivery to Dental Clinic along with Guided Surgery Drill Kit
Flapless Surgery with Nidaan UniGuide
How precision-guided implantology reduced recovery times.

Virtual implant planning & Guide Designing

Guide Placed Infraorally

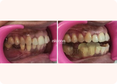
Post-Operative
Multi-Implant Planning Accuracy
Improved surgical outcomes for a complex dental restoration.

Virtual implant planning & Guide Designing

Guide Placed Infraorally

Post-Operative

Predictive Implantology with Digital Workflow
Seamless integration of CBCT + intraoral scan data.

Virtual implant planning & Guide Designing

Guide Placed Infraorally

Post-Operative

Frequently Asked Questions
